
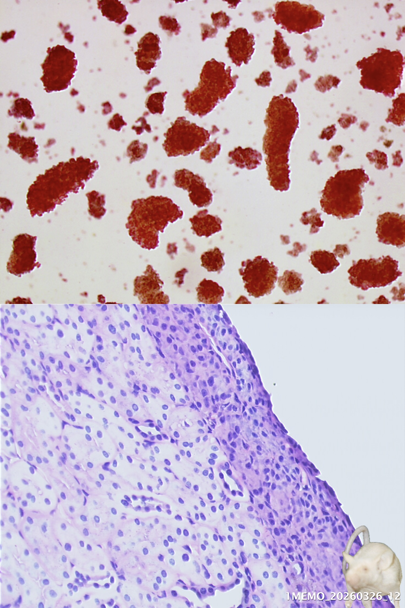
Shortly after our introduction at the previous IPITA World Congress, September 1997 in Milan (Italy) of the novel Iodixanol -UWS solution for isolation of juvenile pig islets (1), we reported successful xeno-transplantation in diabetic Swiss nude (immunodeficient) mice of adult pig islets isolated with this Iodixanol -UWS method, first Tuesday, Jan 27, 1998 at the 17th Workshop of the AIDSPIT Study Group in Igls, Austria (2a), and next April 1998 at the 10th Congress of the Dutch Transplantation Society (2b). We had started these first pig islet xenotransplants in mice also that same month of September 1997 — highlighted in the image below ( 1MEMO_20260326_12 )

Starting with the September 1997 IPITA meeting in Milan, I was sharing in detail the materials and methods of our purification procedure, face to face and in post-congress correspondence, with my colleagues of the other islets centers, thus facilitating fast implementation by Bernhard Hering and Shinichi Matsumoto of the Iodixanol-UWS purification method in the Minneapolis islet center, contributing to their successful single-donor pig islet allo-transplants, as reported by Shinichi Matsumoto May 1998 at the 24th Annual Scientific Meeting of the American Society of Transplant Surgeons, in Chicago (3).
That month, May 1998, I also finished the first series of human islet purifications with the novel Iodixanol-UWS density gradient, while working on human islet isolations in the Miami team at the Diabetes Research Institute (Scientific director Prof. C. Ricordi, MD) of the University of Miami , in Miami, Florida, USA . The successful outcome of the human islet purification work done in Miami was reported from January 1999 in a talk and poster presentations , including a poster presentation at the 7th World Congress of the International Pancreas & Islet Transplant Association, Sydney (Australia) August 1999 (4).
Viability of Fresh vs Cultured Pig Islets for Transplants • 1MEMO_20260326_2
Slideshow presentation by Josephine Rijkelijkhuizen • 7th IPITA World Congress 1999 • Viability of Fresh vs Cultured Pig Islets for Transplants • 1MEMO_20260326_2 • Michel van der Burg • Miracles•Media • TakeNode 7164b724-65bf-4d3f-8a40-89b188957d1b • Notes #6
Handout • PDF (Viability of Fresh vs Cultured Pig Islets for Transplants)
7th IPITA World Congress 1999 • 1MEMO_20260326_3 • Michel van der Burg • Miracles•Media • TakeNode 995e90b3-d797-435c-a510-00a0e35bc424 • Handout presentation by Josephine Rijkelijkhuizen (Notes #6).
In our oral presentations at the 7th World Congress of the International Pancreas & Islet Transplant Association, Sydney (Australia) August 1999, we demonstrated both the complete recovery of pure intact pig islets during isolation in UWS and purification in the novel solution of Iodixanol (Optiprep) in UWS, and the superior viability of these islets following short-term storage in culture solution (‘culture’) , allowing successful xeno transplantation of the pig islets in mice (5,6), rats (7), and monkeys (8) .
The 7th IPITA congress abstracts were published online only at the official website of the IPITA, in Oxford at the time (www.jr2.ox.ac.uk/ipita), and cannot be retrieved now (9). However, I kept an archive with photocopies of our abstracts published in print in the Abstract Book of the 7th IPITA , posted below.
One of our papers was included among the top 10 papers selected for submission of a full paper in a special issue of the journal Cell Transplantation — see below.

Top 10 Paper
Our study — collaborative research of our Surgery Department (LUMC), and workers of the Biomedical Primate Research Centre in Rijswijk (Netherlands) — presented by our student researcher Josephine Rijkelijkhuizen, showing that cultured pig islets, isolated and purified in Iodixanol-UWS, can be transplanted without hyperacute rejection in cynomolgous monkeys , was selected in the top 10 outstanding studies at the memorable Sidney World Congress of the International Pancreas & Islet Transplant Association (9) , and the full paper included in a special issue of the journal Cell Transplantation (10).
Our studies , together, demonstrated the importance of both donor organ selection (choosing adult organs), selection of non-toxic, endotoxin-free media, such as iodixanol and UWS, as the isolation solutions, and selection of islets that survive storage in culture, for a successful outcome after transplantation in this difficult model of xeno-transplantation, grafting porcine islets in other species.
Notes
1) Innovative Islet Purification in Iodixanol-UWS • IPITA 97 • Michel van der Burg • Miracles.Media • @1MEMO 20250128 • URL michelvanderburg.com/2025/01/28/
2a) Iodixanol-UWS Purification for Porcine Islet Transplantation • AIDSPIT 1998 • Michel van der Burg • Miracles.Media • @1MEMO 20250131 • URL michelvanderburg.com/2025/01/31/
2b) Fresh vs Cultured Pig Islets for Xenografts • NTV Bootcongres 1998 • Michel van der Burg • Miracles.Media • @1MEMO 20250201 • URL michelvanderburg.com/2025/02/01/
3) Matsumoto S, Zhang H J, Gilmore T, van der Burg MPM, Sutherland DER, Hering BJ. Large scale isopycnic islet purification utilizing non-toxic, endotoxin-free media facilitate immediate single-donor pig islet allograft function (Abstract). Transplantation 1998; 66: S30 • 1MEMO_20260326_10 • Michel van der Burg • Miracles.Media • TakeNode a7e8ec21-1757-45f4-90c6-1a5f457e0d9f , View/download PDF below.
Presentation at the 24th Annual Scientific Meeting of the American Society of Transplant Surgeons, Chicago (USA) May 1998. 24th ASTS Program book, Abstract #A-120 • 1MEMO_20260326_5 • Michel van der Burg • Miracles.Media • TakeNode 9efdd5cb-f6da-4dec-b9d9-63cf0b254b30

4) Van der Burg MPM, Ranuncoli A, Molano R, Kirlew T, Ringers J, Bouwman E, Terpstra OT, Ricordi C. New powerful tool for human islet purification: OptiPrep-UWS? 7th World Congress of the International Pancreas & Islet Transplant Association, Sydney (Australia) August 22–25, 1999. Abstract in Programme and Abstract Book, page 169, P298 . In : New Powerful Tool For Human Islet Purification • OptiPrep-UWS ? • IPITA 1999 Sydney • @1MEMO 20260325 • Michel van der Burg • Miracles.Media • URL michelvanderburg.com/2026/03/25/
5) Van der Burg MPM, Rijkelijkhuizen JKRA, Zwaan RP, Bouwman E. Recovery of adult pig islets during isolation using Liberase vs collagenase-P, purification in OptiPrep-UWS, and culture for transplantation in nude mice. 7th World congress of the International Pancreas & Islet Transplant Association, Sydney (Australia) August 22–25, 1999. Programme and Abstract Book, page 164, #281 . 1MEMO_20241203_3 • In : Iodixanol Purification of Porcine Islets • Sydney IPITA 1999 • 1MEMO 20241203 • Michel van der Burg • Miracles.Media • TakeNode 64ace253-d25b-4b6d-af5b-08060712c471 • URL michelvanderburg.com/2024/12/03/

6) Rijkelijkhuizen JKRA, Bouwman E, Van der Burg MPM. Pre-transplant culture markedly improves pig islet graft survival in nude mice. 7th World congress of the International Pancreas & Islet Transplant Association, Sydney (Australia) August 22–25, 1999. Programme and Abstract Book, page 117, #162 . 1MEMO_20260326_6 • Michel van der Burg • Miracles.Media • TakeNode 5ce0c54f-a6a1-4cc9-8f68-9a1cd723badf

7) Rijkelijkhuizen JKRA, Van der Burg MPM, Bouwman E. Longterm survival of porcine islets in the rat. 7th World congress of the International Pancreas & Islet Transplant Association, Sydney (Australia) August 22–25, 1999. Programme and Abstract Book, page 112, #152 . 1MEMO_20260326_7 • Michel van der Burg • Miracles.Media • TakeNode bc9a48ee-23ff-48f1-ab2c-5bcef071ebaa

8) Rijkelijkhuizen JKRA, Bouwman E, Van der Burg MPM, Ringers J, Ossevoort MA, Kuhn EM, Frost P, Jonker M. Successful suppression of the early rejection of pig islets in monkeys. 7th World congress of the International Pancreas & Islet Transplant Association, Sydney (Australia) August 22–25, 1999. Programme and Abstract Book, page 144, #231 . 1MEMO_20260326_8 • Michel van der Burg • Miracles.Media • TakeNode 29bb03b4-8b02-4aa9-9b33-715ca006c28e

9) Ricordi C. Prime Time for Pancreas and Islet Transplantation at the Turn of the Millennium. Cell Transplant. 2000 Nov;9(6):853-855. doi: 10.1177/096368970000900611. PMID: 28886292. URL https://journals.sagepub.com/doi/epdf/10.1177/096368970000900611 (Free Full Paper)
10) Rijkelijkhuizen JK, Bouwman E, van der Burg MP, Ringers J, Ossevoort MA, Kuhn EM, Frost P, Jonker M. Successful suppression of the early rejection of pig islets in monkeys. Cell Transplant. 2000 Nov-Dec;9(6):909-12. doi: 10.1177/096368970000900618. PMID: 11202577. URL https://journals.sagepub.com/doi/epdf/10.1177/096368970000900618 (Free Full Paper) • Collaborative research From Biomedical Primate Research Centre (M.O., E.M.K.,
J.W., K.H., M.J.), Rijswijk, and Leiden University Medical Centre (J.K.R.A.R., J.R., M.vdB., E.B.), Leiden, The Netherlands .


. Islet isolation (using Iodixanol-UWS) and transplants team work by Josephine Rijkelijkhuizen and Michel van der Burg, Leiden Islet Laboratory (LUMC), May 1998. Reflection contrast microscopy by Frans A. Prins and Michel van der Burg. Not previously published data and photo by Michel van der Burg.
#IPITA #Sydney #surgery #DRI #Miami #clinical #laboratory #purification #optiprep #iodixanol #density #gradient #UWS #pancreas #human #pig #rat #mouse #monkey #xeno #islets #islet #Langerhans #isolation #UW #university #Wisconsin #transplantation #diabetes #man #history #Holland #Netherlands #Leiden #hospital #LUMC #1memo #michelvanderburg #Rijkelijkhuizen #Matsumoto #Hering #Minneapolis #Ricordi
Citation info : Successful Islet Transplantation After Purification in Iodixanol-UWS • IPITA 1999 Sydney • @1MEMO 20260326 • Michel van der Burg • Miracles.Media • URL michelvanderburg.com/2026/03/26/






